Eyelid Surgery & Brow Lift Gallery
All procedures below were performed by Dr. Anand D. Patel. Results vary by individual.
Hairline Brow Lift & Upper/Lower Eyelid Surgery
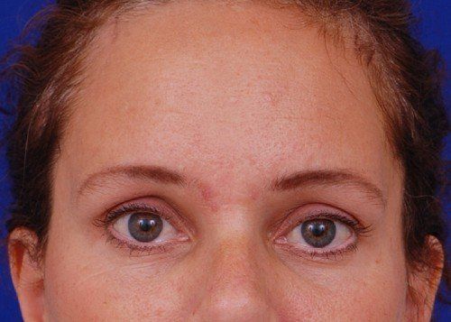
More youthful eyelids are best achieved with upper and lower eyelid surgery.
A lower eye lift refreshes the appearance of the lower eyelids.
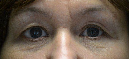
The combination of upper and lower eyelid surgery can often soften deep wrinkling around the eyes.
A direct brow lift coupled with upper eyelid lift can help improve visual field defects.
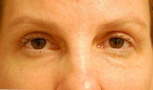
Some younger patients report having lower eyelid bags their whole lives. Lower blepharoplasty can help.
Improving the lower eyelid bags may help accentuate the almond shape of the eye.
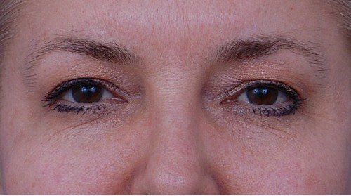
Combining and upper and lower blepharoplasty can sometimes give the most natural appearing result.
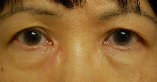
Improving the lower eyelid cheek junction may be performed by combining fat repositioning with suborbicularis oculi fat (SOOF) elevation.
Before
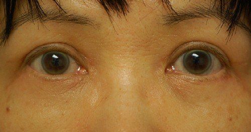
Improving the lower eyelid cheek junction may be performed by combining fat repositioning with suborbicularis oculi fat (SOOF) elevation.
After
Improving the lower eyelid cheek junction may be performed by combining fat repositioning with suborbicularis oculi fat (SOOF) elevation.
Removed upper eyelid hooding and tightened the lower eyelids.
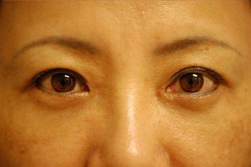
Patients do not have to give up ethnic or familial features to achieve eyelid rejuvenation.
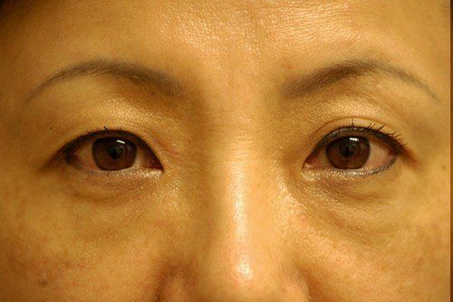
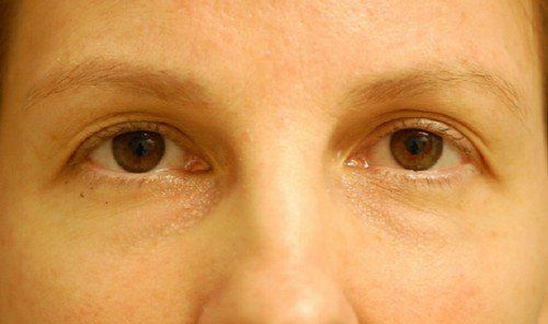
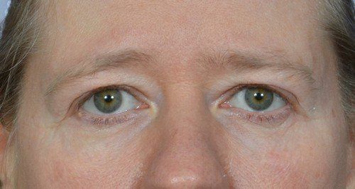
Many patients do not see lower eyelid bags until their late thirties or early forties. This patient has had them her whole life.
Upper & Lower Eye Lift To Diminish Undereye Wrinkles
Upper Blepharoplasty for Upper Eyelid Hooding
Lower Eyelid Surgery On A Young Patient
Male Upper Eyelid Surgery
Upper & Lower Blepharoplasty
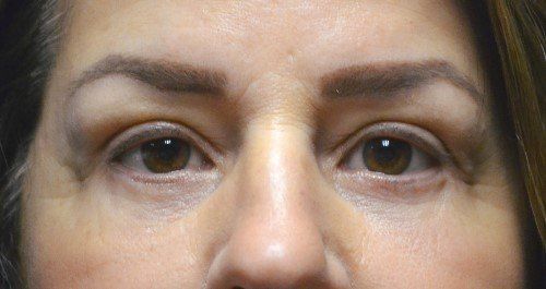
Female Upper Eyelid Surgery
Upper Eyelid Lift
Lower Eyelid Surgery
Eyelid Fat Repositioning
Male Upper & Lower Blepharoplasty
Lower Eyelid Surgery For Wrinkles
Endoscopic Brow Lift
Upper Blepharoplasty
Brow Lift & Lower Eyelid Lift
Brow Lift









































