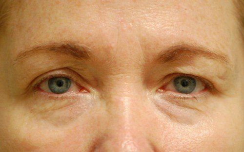
Lower blepharoplasty is usually performed under local anesthesia in our office. Patients are awake and relaxed with eyes closed. Our facial plastic surgeon Anand D. Patel starts by making an incision just below the lash line. A strip of skin and muscle is removed just below the eyelid and any excessive lower eyelid fat is removed. The lower eyelid is then tightened to create a smooth contour from the lower eyelid to the cheek. The entire procedure takes about 1-3 hours.
The Best Procedures For Undereye Bags

Undereye bags are a very common concern that lead many people to search endlessly for a remedy. For some, they seem to never go away. The loss of fat and collagen beneath the eyes due to aging is the typical culprit behind permanent undereye bags, but genetics cause some people to have them their entire lives.
While there are many products on the market geared toward reducing undereye bags, lower eyelid surgery is the most effective for undereye bags caused by aging or genetics. This can be approached with lower blepharoplasty or undereye fat repositioning.
How is a lower blepharoplasty performed?
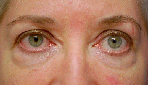
Lower Blepharoplasty Before & After Photos
How is undereye fat repositioning performed?
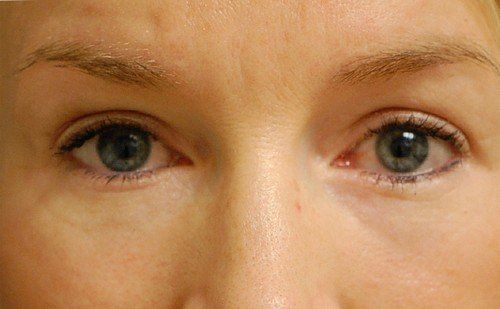
Fat Repositioning Before & After Photos
What is the recovery process like after lower eyelid surgery?
The at-home recovery time is normally only 1 week. A dull achy sensation and dry eyes are normal within the first few days after surgery, but we will instruct you on how to alleviate it for a comfortable recovery. Stitches are removed by the end of the first week. Some bruising may remain for a few weeks but should disappear fairly quickly.
Will the incision scars be visible?
At Visage Facial Plastic Surgery, Dr. Patel uses techniques to ensure that the incisions are well-concealed. The incision is concealed just below the lashes and also extends into a natural squint line. For some, he is able to hide the incision on the underside of the lower eyelid.
What results can be expected from lower eyelid surgery?
Lower eyelid surgery can reduce lower eyelid bags and dark circles for a refreshed, alert appearance.
Schedule A Consultation at Visage Facial Plastic Surgery
Looking for a Milwaukee plastic surgeon for your eyelid surgery procedure? Schedule your free phone consultation at Visage Facial Plastic Surgery using this form.











